〒150-0002
東京都渋谷区渋谷1-24-7 宮下パークビル2F

料金表 FEE

料金表

お支払方法

下記のお支払方法をお選びいただけます。

現金

現金・振込でのお支払いが可能です。

クレジットカード

VISAMasterCard、JCB、DISCOVER、AMERICAN-EXPRESSなどのクレジットカードでのお支払いが可能です。

デンタルローン

JACCSやアプラスのデンタルクレジットローンによる分割払いが可能です。

電子マネー

PASMO、suicaなど交通系ICカード全てでのお支払いが可能です。

矯正治療

カウンセリング相談料

矯正相談は無料でご提供しております。歯並びや治療方法についてのご不安やご質問に、専門の歯科医師が丁寧にお答えします。お気軽にご相談ください。

無料

精密検査

精密検査では、セファロレントゲンや口腔内スキャナーなどの設備を用いて歯や顎の状態を詳細に分析します。治療計画の立案に必要なデータを正確に取得し、最適な矯正方法をご提案します。

4,800円程度

マウスピース矯正

マウスピース矯正(上下全体)
重度症例

複雑な歯の移動や抜歯が必要な程度の歯並びに対応したマウスピース矯正です。
精密なシミュレーションと計画的な治療で、理想的な歯並びを目指します。

968,000円(税込)

マウスピース矯正(上下全体)
中度症例

歯の重なりや隙間が中程度で軽い出っ歯や受け口、部分的な咬合不正がある場合に適したマウスピース矯正です。透明で目立ちにくく、取り外し可能なため、日常生活を快適に過ごせます。

858,000円(税込)

マウスピース矯正(上下全体)
軽度症例

軽度の歯の凸凹、前歯の軽い隙間や傾き、軽い咬合のズレなど軽度の歯列不正に対応したマウスピース矯正です。短期間で効果的な治療が可能で、見た目も気になりません。

748,000円(税込)

ワイヤー矯正

ワイヤーを表側に使用した
全体矯正

歯の表側にワイヤーを装着する一般的な矯正方法です。細かい調整が可能で、幅広い症例に対応しています。

748,000円
~968,000円
(税込)

ワイヤーを裏側に使用した
全体矯正治療

歯の裏側にワイヤーを装着する矯正方法です。外見を気にせず治療でき、特に成人の方に人気があります。

ワイヤーを表側に使用した
全体矯正料金にプラス

片顎 税込
150,000円

部分矯正

表側ワイヤーによる前歯のみの
部分矯正

前歯のみにワイヤーを装着し、部分的な歯列不正を改善します。治療期間が短く、費用も抑えられます。

犬歯を動かさない場合
272,800円(税込)
犬歯を動かす場合
327,800円(税込)

裏側ワイヤーによる前歯のみの
部分矯正

歯の裏側にワイヤーを装着し、見た目を気にせず部分的な歯列不正を改善します。

382,800円(税込)

マウスピースによる前歯のみの
部分矯正

前歯のみにマウスピースを使用し、目立たずに部分的な歯列不正を改善します。

327,800円(税込)

オプション

カリエール

歯の移動を加速するための補助装置です。治療期間の短縮が期待できます。

55,000円(税込)

TAD(アンカースクリュー)

骨に小さなスクリューを埋め込み、歯の移動を安定させるための補助装置です。

1本22,000円(税込)

光加速装置
(PBMヒーリングorオーソパルス)

光の力で歯の移動を促進し、治療期間の短縮を図る装置です。

120,000円(税込)

保定装置

矯正治療終了後の歯の位置を安定させるための装置です。装置の種類により価格が異なります。

※装置により異なる

審美治療

オールセラミックインレー

天然歯に近い透明感と強度を持つセラミック素材の詰め物です。むし歯治療後も自然な仕上がりを実現します。

58,000円(税込)

オールジルコニアインレー

高い強度と耐久性を持つジルコニアの詰め物です。奥歯の審美性と機能性を兼ね備えた治療が可能です。

68,000円(税込)

ジルコニアオールセラミッククラウン

全体をジルコニアで覆う被せ物で、強度と美しさを兼ね備えた仕上がりが可能です。

132,000円(税込)

オールセラミッククラウン

天然歯に近い色調と透明感を持つセラミックの被せ物です。自然な仕上がりを実現します。

88,000円(税込)

フルジルコニアクラウン

ジルコニア素材により高い強度と審美性を兼ね備えた被せ物です。

99,000円(税込)

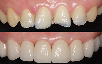
ラミネートべニア

歯の表面を薄いセラミックで覆い、形や色の改善を行う審美治療です。歯を削る量が少なく、自然で美しい仕上がりが特徴です。

88,000円(税込)

ダイレクトボンディング
(歯の表面の審美治療)

コンポジットレジンを直接歯に盛り付け、形状や色調を整える治療です。軽度の欠けや隙間の改善に適しています。

33,000円(税込)

ガムピーリング(歯肉の漂白)

歯肉の表面を薬剤で処理し、色素沈着を改善する治療です。健康的でピンク色の歯肉を目指せます。

8,800円(税込)

ホワイトニング

オフィスホワイトニング

歯科医院で行う即効性のあるホワイトニングで、短期間で歯を白くすることが可能です。

25,000円(税込)

ホームホワイトニング

自宅で行うホワイトニングで、歯科医院にて専用のマウスピースを作製し、ご自宅でホワイトニング剤を流し込んで数時間装着していただく方法です。

27,500円(税込)

デュアルホワイトニング

オフィスホワイトニングとホームホワイトニングを組み合わせ、効果的に歯を白くする治療法です。

48,000円(税込)